
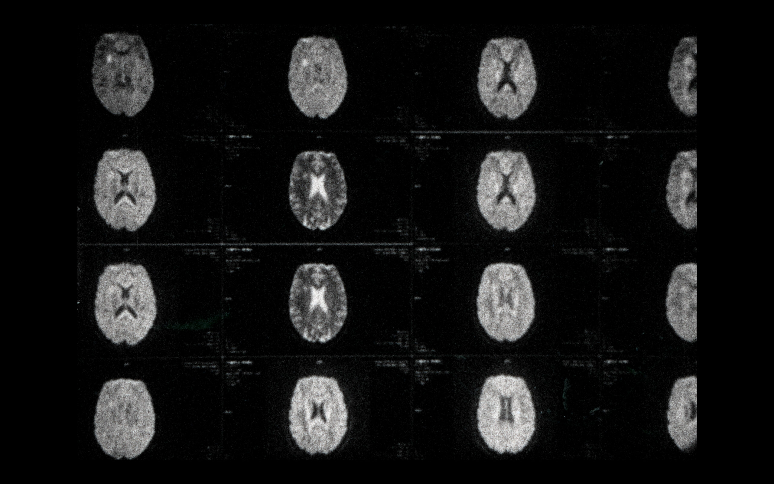
In IN MY HEAD the filmmaker reflects on her multiple sclerosis by examining her own magnetic resonance images, thus sketching the movement of life that persists with the disease.
Filmmaker Irina Tempea has become one with her film, a small diary about the multiple sclerosis she suffers from. Filmed on shaky and “dirty” celluloid, the documentary translates its content perfectly into form, each artifact seeming to bear the imprint of morbid anxiety, each analog tremor a struggle. Looking at the disease from the inside (X-rays) and from the outside (glimpses of everyday life), synchronizing, desynchronizing, and resynchronizing the speed of radiology with the slowness of the sick body, IN MY HEAD offers a great deal of human understanding and an artistic interpretation of the self as a patient. (Călin Boto)

Irina Tempea is a Romanian-born filmmaker and cultural worker based in Tiohtià:ke/Montreal. Her diary-like artistic practice revolves around the analog process she uses to reveal herself. In the process, she questions the materiality of film while filming her daily life and those close to her. Dans ma tête, about her multiple sclerosis, is her first film. Irina holds a bachelor’s degree in film studies from the Université de Montréal. She now wishes to open up a dialogue with other cinematographic devices, and bring them together in a second work entitled Bica.